
Who Should Worry About Gum Problems?
June 12, 2023
Solutions for Dealing with Tooth Sensitivity
August 1, 2023What Are the Symptoms of Serious Dental Problems?
What Are the Symptoms of Serious Dental Problems
What Are the Symptoms of Serious Dental Problems? Maintaining good oral health is essential for overall well-being, and recognizing the symptoms of serious dental problems is crucial for timely intervention and treatment.
Dental issues, if left untreated, can lead to further complications and impact your oral health significantly.
This article will explore the common symptoms of serious dental problems that require professional attention.
Read on – What Are the Symptoms of Serious Dental Problems?
Tooth Pain and Sensitivity
Table of Contents
Persistent Toothache
A persistent toothache that lasts for an extended period may indicate underlying dental problems such as tooth decay, infection, or gum disease.
The pain can vary from mild to severe and may be accompanied by swelling or sensitivity.
Increased Sensitivity
Heightened sensitivity to hot or cold food and drinks and sensitivity to sweet or acidic substances can be a sign of tooth enamel erosion, gum recession, or tooth decay.
A dentist should evaluate increased sensitivity that persists or worsens over time.
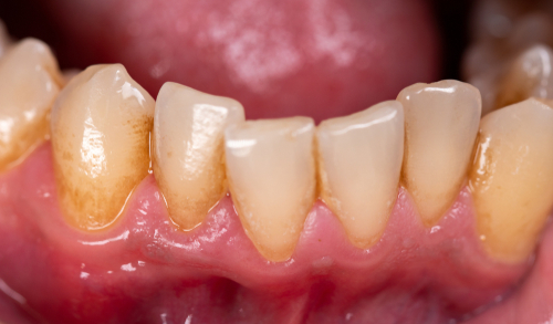
Gum Problems
Swollen or Red Gums
Swollen, tender, or red gums can indicate gum disease, also known as gingivitis or periodontitis.
Gum disease occurs due to bacterial infection and can lead to serious complications if left untreated.
It is essential to seek dental care if you notice any changes in your gum health.

Bleeding Gums
Gums that bleed easily, especially during brushing or flossing, maybe a sign of gum disease or other underlying dental problems.
It is important not to ignore bleeding gums as it could indicate inflammation or infection in the gums.
Receding Gums
Gums that appear to be pulling away from the teeth, exposing the roots, can be a symptom of gum disease or aggressive tooth brushing habits.
Receding gums require professional evaluation and treatment to prevent further damage and tooth loss.
Oral Infections
Abscesses
Abscesses are pockets of pus that form at the root of a tooth or in the gums.
They are often accompanied by severe pain, swelling, and a bad taste in the mouth.
Abscesses are a serious dental problem that requires immediate dental attention to prevent further infection and potential complications.
Oral Thrush
Oral thrush, a fungal infection caused by Candida yeast, can cause white patches on the tongue, inner cheeks, or roof of the mouth.
It can indicate a weakened immune system or other underlying health issues.
Seeking treatment from a dentist or medical professional is necessary to address the infection.

Changes in Teeth and Bite
Loose Teeth
Adult teeth should not be loose or wiggling. Loose teeth can indicate advanced gum disease, injury, or bone loss.
Prompt dental evaluation is necessary to determine the cause and prevent tooth loss.
Changes in Tooth Color
Discoloration of teeth, such as darkening, yellowing, or grayish hues, can indicate tooth decay, enamel erosion, or other dental problems.
A dentist should assess changes in tooth color that do not result from external staining.
Changes in Bite
Sudden changes in how your upper and lower teeth fit together, such as difficulty biting or chewing, can indicate dental problems, jaw misalignment, or temporomandibular joint (TMJ) disorder.
A dental professional can evaluate your bite and recommend appropriate treatment options.
Chronic Bad Breath
Persistent Halitosis
Chronic bad breath that does not improve with regular oral hygiene practices or mouthwash use may indicate an underlying dental issue.
It can be caused by gum disease, cavities, oral infections, or other oral health problems.
A dentist can help identify and address the root cause of persistent bad breath.

Jaw Pain and Clicking
Jaw Pain
Persistent jaw pain, particularly when opening or closing the mouth, can indicate temporomandibular joint (TMJ) disorder.
TMJ disorders can cause discomfort, limited jaw movement, and difficulties with chewing.
A dentist can evaluate your jaw joint and recommend appropriate treatment options.
Clicking or Popping Sounds
Clicking, popping, or grinding sounds when you open or close your mouth can also indicate TMJ disorder or a misaligned bite.
If you experience these symptoms along with jaw pain or discomfort, seeking dental care can help address the underlying issue.
Sores or Lesions
Canker Sores
Recurring canker sores or mouth ulcers that do not heal within a reasonable time frame may require dental attention.
Canker sores can be painful and may be associated with underlying oral health conditions or deficiencies in the immune system.
Oral Lesions
Unusual sores, lesions, or growths in the mouth that persist for more than two weeks should be examined by a dentist.
These could be signs of oral cancer or other serious oral health issues.

Difficulty or Pain When Eating
Chewing Difficulties
Suppose you experience pain, discomfort, or difficulty when chewing or biting down may indicate dental problems such as cavities, cracked teeth, or damaged dental restorations.
A dental examination can help identify the cause of the discomfort and determine the appropriate treatment.
Tooth Sensitivity to Pressure
Teeth sensitive to pressure when biting down or chewing can indicate underlying dental issues.
This sensitivity may indicate tooth fractures, cracked enamel, or infection.
Prompt dental intervention is necessary to prevent further damage and alleviate discomfort.
Dry Mouth
Persistent Dryness
If you frequently experience dry mouth, even when properly hydrated, it may be a symptom of an underlying dental problem.
Consulting a dentist can help identify the cause of dry mouth and recommend appropriate management strategies.
Why Choose Us?

Choosing the right dental service provider is of utmost importance when it comes to dental care and addressing serious dental problems.
Here are the reasons why you should choose us:
Experienced and Knowledgeable Dentists
Our team of experienced and knowledgeable dentists is dedicated to providing top-quality dental care.
With their expertise and up-to-date knowledge of the latest dental techniques and treatments, you can trust that you are in capable hands.
Our dentists have extensive experience diagnosing and treating a wide range of dental issues, including serious ones.
Comprehensive Dental Services
Whether you require preventive care, restorative treatments, or cosmetic procedures, we have you covered.
Our services include dental examinations, cleanings, fillings, root canal therapy, dental implants, gum disease treatment, and more.
By providing comprehensive care under one roof, we ensure the convenience and continuity of your dental treatment.
State-of-the-Art Facilities and Technology
Our dental clinic is equipped with state-of-the-art facilities and advanced dental technology.
We stay at the forefront of dental innovations to deliver our patients the highest standard of care.
Our modern equipment and techniques allow for accurate diagnosis, precise treatments, and enhanced patient comfort.
We are committed to utilizing the latest advancements in dentistry to optimize your dental experience.
Patient-Centered Approach
At our dental practice, we prioritize our patients’ comfort, safety, and satisfaction.
Our friendly and compassionate team strives to create a welcoming and relaxed environment, ensuring you feel at ease throughout dental visits.

Commitment to Dental Excellence
We are committed to delivering dental excellence in every aspect of our practice.
From the moment you walk through our doors to completing your treatment, we aim to exceed your expectations.
We adhere to the highest standards of quality and professionalism, providing exceptional dental care that is second to none.
Your oral health and well-being are our top priorities.
Patient Education and Preventive Care
We believe in the power of patient education and preventive care.
We take the time to educate you about proper oral hygiene practices, diet choices, and lifestyle habits that promote healthy teeth and gums.
By emphasizing preventive care, we aim to help you avoid serious dental problems in the first place.
Transparent and Affordable Pricing
We understand that dental care should be accessible and affordable.
We strive to provide transparent pricing and offer flexible payment options to accommodate your budget.
Our team will discuss the costs of treatments, explain the available financing options, and work with you to find the best solution for your dental needs.
Positive Patient Experiences
The satisfaction and well-being of our patients are testimonies to our commitment to excellence.
Their trust in our services and improved oral health are a testament to our dedication to exceptional dental care.
Choosing us means choosing a dental practice that combines expertise, advanced technology, patient-centered care, and a commitment to dental excellence.
Your oral health is our priority, and we are here to provide you with the highest quality dental care you deserve.
What Are the Symptoms of Serious Dental Problems? – Conclusion

Recognizing the symptoms of serious dental problems is crucial for maintaining optimal oral health.
Tooth pain, sensitivity, gum problems, oral infections, changes in teeth and bites, and chronic bad breath are all signs that warrant professional dental attention.
If you experience any of these symptoms, scheduling an appointment with a dentist promptly is important.
Early intervention can prevent further damage, alleviate discomfort, and improve oral health.
Remember, regular dental check-ups and good oral hygiene habits, including brushing twice daily, flossing, and using mouthwash, are essential for preventing dental problems and maintaining a healthy smile.
Contact us now to schedule your dental check-up and ensure optimal oral health!




