
How to Prevent and Treat Gum Disease?
March 30, 2023
What Are the Symptoms of Serious Dental Problems?
July 18, 2023Who Should Worry About Gum Problems?
Who Should Worry About Gum Problems
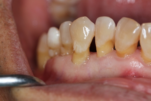
Who Should Worry About Gum Problems? Gum disease, or periodontal disease, is a prevalent condition affecting the tissues supporting and surrounding the teeth.
It’s often underestimated, but if left untreated, it can lead to tooth loss and various health complications.
Everyone should be concerned about gum disease, but specific individuals are more at risk. Read on – Who Should Worry About Gum Problems?
Why it is essential to prioritize gum health
Table of Contents
1. Individuals with Poor Oral Hygiene
Oral hygiene is crucial in preventing gum disease. If you neglect regular brushing and flossing, plaque – a sticky film of bacteria – builds up on teeth and gums, leading to inflammation and gum disease.
2. Tobacco Users
Smoking or chewing tobacco increases the risk of gum disease as it weakens the immune system, making it harder for the body to fight off a gum infection.
Furthermore, tobacco use makes it harder for gums to heal once damaged.
3. People with Diabetes
Diabetic individuals are more susceptible to infections, including gum disease.
High blood sugar levels can cause dry mouth and aid bacterial growth, enhancing the risk of gum disease.

4. Pregnant Women
Hormonal changes during pregnancy can make gums more susceptible to plaque, leading to a condition known as pregnancy gingivitis.
Hence, pregnant women need to be vigilant about their gum health.
5. Older Adults
Age is a risk factor for gum disease, with older adults more likely to experience this condition.
This is because gum recession—a common occurrence with age—exposes more of the tooth’s surface and root to potential decay.
Frequently Asked Questions
Q1: What are the signs of gum disease?
A1: Early signs of gum disease include red, swollen, or bleeding gums, bad breath, receding gums, and a persistent bad taste in the mouth.
In more advanced stages, you may notice loose teeth, changes in bite, or pus between your teeth and gums.
Q2: Can gum disease be reversed?
A2: Yes, if caught in the early stages, known as gingivitis, gum disease can be reversed with proper dental treatment and good oral hygiene.

Q3: How can I prevent gum disease?
A3: Regular brushing and flossing, avoiding tobacco, maintaining a balanced diet, and regular dental check-ups can significantly help prevent gum disease.
Q4: Are there any links between gum disease and other health conditions?
A4: Studies suggest chronic gum disease may be associated with other health conditions such as heart disease, stroke, and respiratory problems.
How to Be Proactive About Gum Health
Prevention is always better than cure, especially regarding gum health.
- Maintain Good Oral Hygiene: Brush your teeth at least twice daily, floss daily, and use an antibacterial mouthwash. This helps remove plaque and prevent gum disease.
- Regular Dental Check-ups: Regular dental visits allow for early detection and treatment of gum disease. Most dentists recommend a check-up every six months.
- Quit Smoking: Tobacco use significantly increases the risk of gum disease. Quitting can greatly improve your gum health.
- Eat a Balanced Diet: A diet rich in vitamins, minerals, and fresh produce can help boost your immune system and prevent infections, including gum disease.
- Stay Hydrated: Drinking plenty of water promotes saliva production, which helps neutralize bacteria and prevent gum disease.
The Impact of Gum Disease

Understanding the impact of gum disease is vital to gauge its seriousness and encourage proactive measures.
Gum disease doesn’t just affect your oral health; it can have far-reaching consequences:
1. Tooth Loss
The most immediate and noticeable impact of untreated gum disease is tooth loss.
Gum disease attacks the structures that support your teeth, causing them to become loose and eventually fall out.
2. Impact on Overall Health
Numerous studies have linked gum disease to systemic health issues, including heart disease, diabetes, respiratory diseases, and premature birth in pregnant women.
3. Affects Quality of Life
Gum disease can lead to persistent bad breath and cause pain and discomfort. It can affect your ability to eat comfortably and diminish your overall quality of life.
4. Economic Impact
Treatment for advanced gum disease can be expensive.
Also, it could lead to loss of work or productivity due to related health issues or treatment.
Emphasizing Regular Dental Check-Ups

While maintaining proper oral hygiene at home is crucial, regular dental check-ups are equally important.
These check-ups include professional cleanings that remove the hardened plaque (tartar) that at-home brushing can’t eliminate.
Dentists can also identify early signs of gum disease (and other oral health issues) that you might miss, ensuring timely treatment and preventing further progression.
Whether or not you’re at an increased risk, it’s crucial to be concerned about gum disease.
Oral health plays a significant role in your overall health, and gum disease is often preventable with proper hygiene and regular dental check-ups.
Don’t overlook your gums – your smile and your health depend on them.
Why Choose Us for Your Gum Health?
When it comes to your oral health, choosing the right dental care provider is of paramount importance.
Here’s why you should consider us as your trusted partner in maintaining optimal gum health:
1. Expertise and Experience
With years of professional experience, our team of dental experts is equipped to handle a wide range of dental issues, including gum disease.
We utilize evidence-based methods to provide the highest standard of care.
2. Personalized Treatment Plans

We understand that every patient’s oral health needs are unique. That’s why we offer personalized treatment plans tailored to meet your individual needs and preferences.
3. State-of-the-Art Facilities
At Dentist-Singapore, we boast state-of-the-art facilities and advanced technology to ensure you receive the best care possible.
We continually update our equipment and techniques to stay at the forefront of dental care.
4. Comprehensive Dental Care
We provide comprehensive dental services under one roof.
From routine check-ups and cleanings to advanced periodontal treatments, your oral health needs are covered.
5. Patient-Centric Approach
Our patient-centric approach means we put your comfort and needs first. We aim to provide a relaxed and welcoming environment where you can receive quality dental care.
6. Highly-Trained Staff
Our dental team is highly trained and committed to continuous learning. We ensure we’re constantly updated on the latest dental health research and best practices.
Who Should Worry About Gum Problems? – Conclusion

In choosing us at Dentist Singapore, you opt for top-quality dental services prioritizing your well-being and satisfaction.
We aim to help you maintain excellent oral health and a bright, confident smile.
Everyone should prioritize gum health, but those at higher risk should be particularly vigilant.
Regular dental check-ups, good oral hygiene, and a healthy lifestyle can significantly reduce the risk of gum disease.
Seeking a professional and reliable dentist in Singapore? Contact us today!




